İyileşmeyen ayak yaraları ile kliniğimize refere edilen hastanın MR sonucunda sol sfa Total olduğu görüldü. İşleme alınan hastanın tam tıkalı bacak damarı özel mikro kateter ve özel tellerle geçilerek balon işleminden sonra tam açıklık sağlandı..
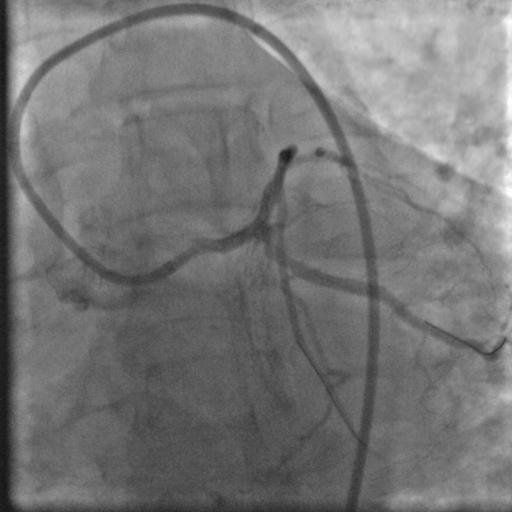
Başka merkezde CTO işlemine alınıp başarısız olup kliniğimize başvuran hastaya RCA uzun ve tandem CTO lezyonları özel mikro kateter ve teller ile geçilerek balon ve stent işlemleri başarıyla sonuçlandı.
Yürürken bacak ağrısı olan ve ayak parmaklarında iyileşmeyen yaraları olan hastanın yapılan tetkiklerinde bacak damarlarının diz üstü ve diz altı tıkalı olduğu tespit edildi.Anjio da balon ve stent işlemiyle damarları açıldı. Hastamız şu an sağlıklı bir şekilde hayatına devam etmektedir.