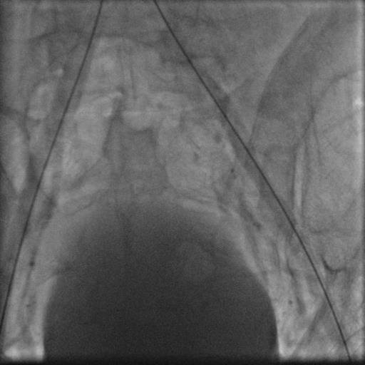
56 yaşında şeker, böbrek yetmezliği ve tansiyon hastalığı olan hastamız yol yürürken baldırlarında ağrı,ayaklarda his kaybi,sogukluk,cinsi zayıflık şikayetleriyle bize IRAK' tan başvurdu .Hastamızın bu şikayetleri 6 aydan beri giderek artmaktaymış.Yaptığımız detaylı muayeneler sayesinde hastamızın böbrek damarlarının ayrıldığı, hizanın altından aort damarının tamamen tıkalı olduğunu tesbit ettik. Aortik Tıkanma (Leriche Sendromu) teşhisi koyuğumuz hastaya yaptığımız başarılı stentleme işleminden sonra tam akım sağlanarak 3 gün sonra şikayetlerinde azalmayla taburcu edilmiştir.





































