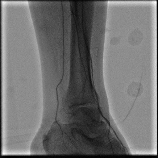
Bacak ağrı ve yanma ve nabız zayıflığı şikayeti ile başvuran hastanın MR Anjiyosunda bacak ana damarının tam tıkalı olduğu görüldü çekilen MR da hastanın şikayetinin asıl nedeninin Bacak Damar Tıkanıklığı olduğu anlaşıldı. Stent uygulaması ile damardaki darlık açıldı. Hastanın takiplerinde bacak ağrısının, yanmasının ve nabız zayıflığının tamamen geçtiği görüldü.














