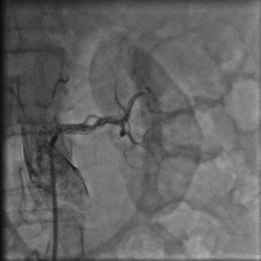
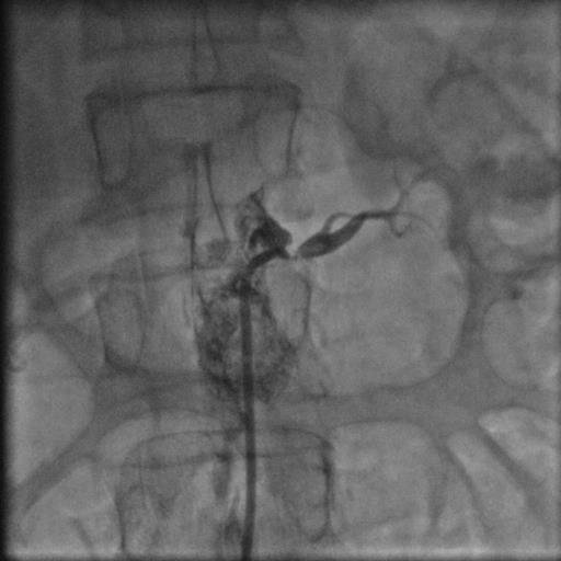
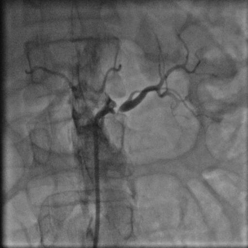
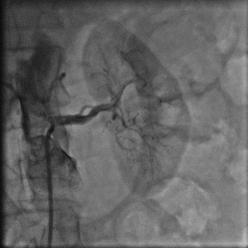
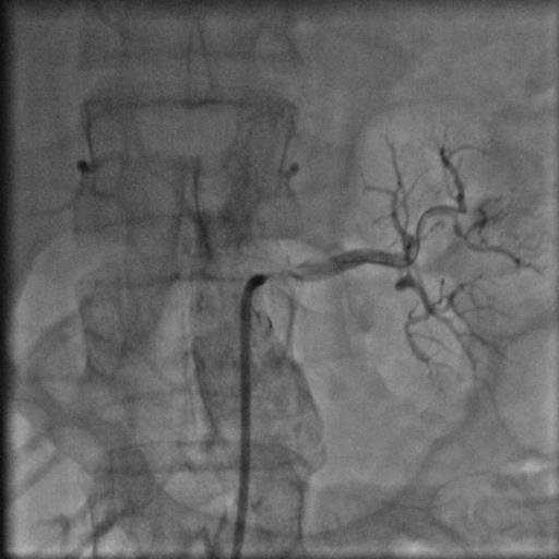
44 yaşında şeker hastalığı olan hastamız dirençli yüksek tansiyon şikayetiyle bize başvurdu. Herhangi bir sebep bulunamayan hastamız 2 yıldan beri cesitli ilaçlar kullanmasına rağmen tansiyonunun düşürülemediğini söylüyordu. Yaptiğımız detaylı muayene ve tetkikler sonucu böbrek damarının tıkalı olduğunu tesbit ettik ve yaptıgımız stent işlemi sonrasında hastamız normal tansiyon değerleriyle taburcu edildi..
















