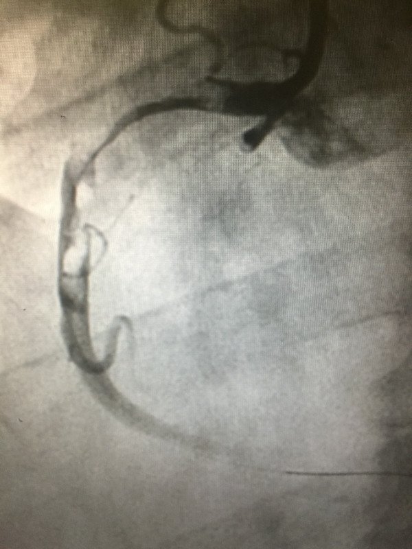
46 yaşında sigara kullanan hasta, gece yarısı ani başlayan göğüs ağrısı, bulantı, terleme, nabız ve tansiyon düşüklüğü şikayetleri ile acil olarak 112 tarafından kliniğimize getirildi. Yapılan acil anjigrafi sonucu kalbi besleyen sağ damarın tamamen tıkalı olduğu tesbit edildi. balon ve stent işleminden sonra tam açıklık sağlanarak hasta sağlıklı bir şekilde taburcu edildi






















